品湛動物醫院
耐心、愛心醫療團隊,24小時全年無休、細心照料

甩甩甩我的頭,狗狗耳朵好癢呀!!

概要

外耳炎是耳膜以外的耳道發炎,狗貓的外耳構造不同於人的點在於為L型,包含了垂直耳道跟水平耳道。

此外,有些犬種的耳朵屬於蓋耳,甚至裡面還有耳毛不易自行清除髒汙,因此容易發炎。

臨床症狀

常見的狀況為抓臉,抓耳,甩耳朵甚至因為細菌感染化膿或是酵母菌感染導致酸臭。
然而,一半左右的主人都不知道這是耳朵正在發炎,往往以為是其他問題。


 


病例介紹—黑皮

主訴

黑皮為一隻12歲,尚未節育的雄性拉布拉多狗狗。自104年的2月耳朵開始發炎、出現了不斷甩頭的症狀,主人帶至其他動物醫院治療。期間反覆使用多種藥物皆無改善,最嚴重的是,主人察覺黑皮對外界反應變得遲鈍,行走也更緩慢,生活品質嚴重受到影響,經友人的介紹在104年10月初到本院就診。


理學檢查


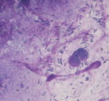
初診時的耳朵抹片,在顯微鏡下看見兩耳皆化膿可見到許多桿菌,建議先採樣送做細菌培養,再以耳朵內視鏡治療。
 

 
耳朵內視鏡

一進入耳道就看見累積多年的化膿物,醫師使用異物鉗夾除這些讓黑皮如此不舒服的化膿團塊。

夾除前

夾除後

治療

利用耳朵內視鏡將陳年的化膿物清除後,主人決定住院治療,期間我們每日持續清潔耳朵、點耳藥水,再依據細菌培養的報告給予適合的抗生素。
 

於隔日做的耳朵抹片檢查,仍可見許多桿菌

送驗的細菌培養報告,確定有細菌的感染

口服藥在投藥14天後停藥並於隔天停止耳藥。

於停藥5天後主人帶著黑皮回診再次做耳朵抹片及細菌培養,主人開心地告訴我們黑皮甩頭的症狀已經改善,生活品質也大幅提升喔!!

送驗的細菌培養報告,確定有細菌的感染

回診送驗的細菌培養報告,已經沒有細菌的生長

黑皮的耳朵確定已被治癒了!
此外,黑皮同時有行動遲緩的問題,醫師給予中醫針灸 一周內明顯改善,現在黑皮的活力不但恢復感覺變得更年輕更快樂呢!

 

耐心、愛心醫療團隊
24小時全年無休、細心照料

醫院營業時間
CONSULTATION SERVICE

上午門診:09:30 ~ 12:00 (最後預約11:00)
下午門診:14:00 ~ 21:00 (最後預約17:30)
晚間門診:18:00 ~ 21:30
急診時段:21:30 ~ 08 :30
每週四:休診至22:00

旅館營業時間
CONSULTATION SERVICE

美容院營業時間:09:00 ~ 18:00
洗澡預約時間最晚:17:00
剪毛預約時間最晚:15:30
旅館入住時間:09:00 ~ 20:00

特寵編號C1120411號

探病時間
VISITING TIME

上午門診:11:00 ~ 12:00
下午門診:15:00 ~ 16:00
晚間門診:18:00 ~ 20:00