品湛動物醫院
耐心、愛心醫療團隊,24小時全年無休、細心照料

外耳炎

概要

外耳炎是耳膜以外的耳道發炎,狗貓的外耳構造不同於人的點在於為L型,包含了垂直耳道跟水平耳道。此外,有些犬種的耳朵屬於蓋耳,甚至裡面還有耳毛不易自行清除髒汙,因此容易發炎。

臨床症狀

常見的狀況為抓臉,抓耳,甩耳朵甚至因為細菌感染化膿或是酵母菌感染導致酸臭。然而,一半左右的主人都不知道是耳朵在發炎,都以為是其他問題。

病例介紹

主訴

黑皮為一隻,12歲,尚未節育,黃色拉布拉多。從104年的2月開始耳朵發炎,甩耳朵,並帶至其他動物醫院治療。期間一直反覆用藥都無改善,而且,主人察覺黑皮對外界反應變遲鈍,並且行走變遲緩,生活品質嚴重受到影響,因此於104年10月初到本院就診。

理學檢查

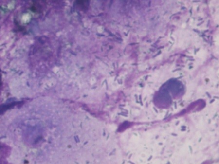
兩耳皆化膿,耳朵抹片 (Fig 1) 可見到許多桿菌,先採樣送細菌培養,再以耳朵內視鏡治療(Fig 2, 3和4)

Fig.1初診耳朵抹片,於一千倍顯微鏡下可見許多桿菌。

Fig.2耳朵內視鏡,可見耳道充滿化膿的團塊。

Fig.3利用異物鉗於耳朵內視鏡夾除化膿的團塊。

Fig.4 將化膿團塊清除的外耳道。

Fig.5耳朵內視鏡後的耳朵抹片,仍可見許多桿菌

Fig.7回診的耳朵抹片,乾淨許多並且沒有細菌。

 

於耳朵內視鏡清除耳道後,給予口服藥和耳藥水,於隔日做耳朵抹片,仍可見許多桿菌 (Fig 5)。雖然如此,仍然每日給予口服藥及清耳朵上耳藥。再細菌培養報告 (Fig 6) 給予抗生素。於投予口服藥14天後停止給予口服藥,並於隔天停止耳藥。
於停藥5天後,主人帶黑皮回診做耳朵抹片檢查Fig.7回診的耳朵抹片,乾淨許多並且沒有細菌。 (Fig 7) 並且再次做細菌培養報告於6天後顯示皆無細菌生長 (Fig 8) ,黑皮的耳朵確定已被治癒。次外,黑皮同時有行動遲緩的問題,醫師給予中醫針灸一周內明顯改善,現在黑皮的活力又恢復感覺更年輕更快樂 (Fig 9)。


Fig.6細菌培養,結果Proteus mirabilis,屬於一種腸桿菌。

Fig.8細菌培養,結果沒有細菌生長。

治療方式:早晚清耳朵間隔1~2分鐘後上耳藥  清耳朵平常保養是每周一次

皮膚病

毛小孩如果身上有異味、不停搔癢,很有可能是皮膚疾病。值得提醒的是,許多飼主在帶到醫院就診前,怕動物的異味會引起獸醫師的反感,所以特別洗澡。但這樣其實會將身上的病灶洗掉,造成皮膚採樣的困難。建議發現異常時就提早就診,看診前兩天不要幫動物洗澡,避免影響獸醫師採樣時的準確性。發現病灶時也可以先拍照記錄,例如急性過敏時,身上會出現蕁麻疹,到院後已消退許多。如果有即時拍照記錄,就可以提供病灶與獸醫師討論。


耐心、愛心醫療團隊
24小時全年無休、細心照料

醫院營業時間
CONSULTATION SERVICE

上午門診:09:30 ~ 12:00 (最後預約11:00)
下午門診:14:00 ~ 21:00 (最後預約17:30)
晚間門診:18:00 ~ 21:30
急診時段:21:30 ~ 08 :30
每週四:休診至22:00

旅館營業時間
CONSULTATION SERVICE

美容院營業時間:09:00 ~ 18:00
洗澡預約時間最晚:17:00
剪毛預約時間最晚:15:30
旅館入住時間:09:00 ~ 20:00

特寵編號C1120411號

探病時間
VISITING TIME

上午門診:11:00 ~ 12:00
下午門診:15:00 ~ 16:00
晚間門診:18:00 ~ 20:00